A 73 YEAR OLD MALE PATIENT WITH PEDAL EDEMA, SHORTNESS OF BREATH AND DECREASED URINE OUTPUT
Here we discuss our individual patient's problems through series of inputs from available global online community of experts with an aim to solve those patient's clinical problems with collective current best evidence based inputs.
This E log book also reflects my patient-centered online learning portfolio and your valuable inputs on the comment box is welcome.
MAY 15,2021
CASE DISCUSSION
A 73 yr male patient teacher by occupation, resident of .............. presented to Opd with chief complaints of :
- PEDAL EDEMA ,SINCE 15 DAYS
- SHORTNESS OF BREATH, SINCE 4 DAYS
- DECREASED URINE OUTPUT ,SINCE 2 DAYS
HISTORY OF ILLNESS
Patient is chronic alcoholic since 40yrs ( stopped few months back) and non-smoker was apparently asymptomatic 30yrs ago. He was diagnosed with type 2 diabetes mellitus 30yrs back and hypertension 19yrs back on regular checkup. Since then he has been on medication with Tab.Glicazid 80mg BD and since 4 yrs he has been taking human mixtard insulin 15u-0-8u daily for DM and on Tab. Telma H 40/12.5gm, Tab.Prazosin 5mg BD and Tab.Met-xl 50mg BD .
Pedal edema since 4 years associated with exertional dyspnea . On checkup was diagnosed with CKD STAGE 4. Was started on medication with Tab.Dytor 10mg and Tab.Nodosis 500mg BD . He used the medication for 3yrs following which his creatinine levels dropped from 3mg to 2mg . He stopped the medication as his creatinine levels reduced since a year following which he complaints of ON AND OFF pedal edema which has increased significantly since past 15 days.
Blurring of vision , since 4yr ( Diabetic retinopathy).
H/O fever and cough 3 months back .He was tested covid-19 positive and was on medication and in home isolation . He was tested negative after 10 days of illness.
2 months ago , pt. complaints of spontaneous formation of bleb on 3rd toe of left lower limb. Dressing done by local RMP.
1 month ago ,H/O unresponsiveness and starring look - 1 episode of hypoglycemia. h pt. regained consciousness after administration of iv fluids. attenders claim it to be due to his blurred vision he must have taken high dose of insulin than prescribed dose.
H/O RTA 10 days back causing injury to left lower limb -laceration wound present .dressing done by local RMP, using analgesics.
SOB since 4 days which progressed from grade 2 to grade 3 associated with orthopnea and PNS, unable to sleep due to sob since 4 days.
decreased urine output since 2days.
No H/O fever , cold , cough, facial puffiness .
PERSONAL HISTORY
GENERAL EXAMINATION
SYSTEMIC EXAMINATION:
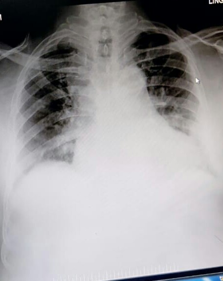
INVESTIGATIONS

ECG ON DAY 2 :
atrial fibrillation on day 2 .injection amiodarone was started.
DAY 3: pt. went LAMA as they can avail ESH in other hospital.
DIAGNOSIS
TREATMENT
salt restriction diet (<2g per day)
Inj. Lasix Infusion 2amp(80mg)+46ml NS @2ml/hr ( 3.2mg/hr)
Tab. Met-xl 50mg PO BD
Tab. Orofex-xt PO OD
Tab.Ecospirin-AV (75/20) night single dose
Protein x powder 2 scoops in glass of milk BD
Tab. Prazosin 5mg PO BD
Tab. Teneligliptin 20mg PO OD
Inj. Human mixtard insulin S.C after informing 8am-2pm-8pm
GRBS 6th hourly ( 8am-2pm-8pm-2am)
Daily dressing for ulcer
Inj. Augmentin 1.2g IV BD
BP /PR monitoring 2nd hrly




Comments
Post a Comment